公開日:2023.07.27 最終更新日: 2025.12.02

眼窩腫瘍手術ならオキュロフェイシャルクリニック 入院不要・
スペシャリストが行う
眼窩腫瘍摘出

お問い合わせ

オキュロフェイシャルクリニックグループ

当院は、まぶた、眼窩、涙道に特化した眼形成手術の専門施設です。豊富な経験と専門的な知識をもとに、一人ひとりのお悩みに寄り添い、最適な治療をご提案いたします。

他院で修正することが難しいと判断された方でも、今まで来院されたほとんどの方が治療が可能ですので、まずは一度ご相談いただけたらと思います。

出来るだけキズの残らない
眼窩腫瘍の摘出手術

眼窩腫瘍の摘出手術

豊富な治療実績だからこそ、
キズの残らない手術が可能

我々は甲状腺眼症に対する眼窩減圧術や眼窩ブローアウト骨折など、日々たくさんの眼窩手術を行っております。
その経験を活かし他院で難しいと言われた眼窩腫瘍の摘出手術をたくさん行っております。
切開部位は古典的な大きな切開ではなく、出来るだけキズの残らない、腫瘍にダイレクトに到達できる場所を選んで行います。
可能な限り患者さんに負担の少ない、眼球に愛護的な手術を目指しています。お困りの方は是非、一度ご相談ください。

眼窩腫瘍の摘出手術の症例

症例1.他院で断られ続けて来院された70代女性の患者様

他院で手術は出来ないと言われ続け、腫瘍が大きくなってしまった。目が飛び出てしまっているので、眼球ごとでも良いから摘出を希望され来院。

術前の症例写真

右眼の眼球突出があるため、左右で異なる印象になっています。

右眼の重度の眼球突出が見られます。

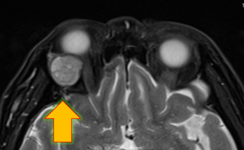
MRI

眼球より後方に眼球内容と同じくらいの信号強度の腫瘍が存在します。

術後の症例写真

腫瘍摘出後です。長年腫瘍に圧迫されていたため健側よりもすこし凹んでいます。目じり切開のキズはほとんど目立ちません。

右眼の眼球突出が改善しています。

治療前後での比較

実際の手術動画はこちら

筋円錐内眼窩腫瘍摘出術の解説動画
オキュロフェイシャルクリニック東京 
院長 鹿嶋友敬

※実際の手術の解説動画になりますので、手術映像が苦手な方はご視聴しないようにお願いいたします。

主訴 眼窩腫瘍
治療費 深在性の場合 片眼¥150,000
表在性の場合 片眼¥30,000
治療内容 眼窩腫瘍の摘出手術
治療のリスク ・良性の腫瘍であれば完治する可能性が高いですが、悪性の場合は繰り返す可能性があります。
・眼窩腫瘍の主な症状として、眼球の突出やまぶたの腫れ、ものが二重に見える複視があります。
・腫瘍の種類や進行具合によっては、眼球やまぶたに炎症が生じたり、視力が低下する場合がございます。

症例2.眼窩腫瘍と診断されたものの、
手術不可能と断られ、来院された50代男性の患者様

約50歳男性。3年前に大学病院にて眼窩腫瘍の診断。手術は不可能と言われたが、知人の紹介で当院受診。

術前の症例写真

右眼の眼球突出があり、左眼に比較して目が腫れているように見えます。

左眼と比較すると右眼の眼球突出が顕著です。

術後の症例写真

右眼の眼球突出は改善しています。目じりのキズも目立ちません。

右眼の眼球突出の改善が見られます。

術前のMRI

眼球より後方に腫瘍があり、眼球を押し上げていることが分かります。

術後MRI

腫瘍はきれいに摘出され、眼球は凹んでいます。

実際の手術動画はこちら

筋円錐内眼窩腫瘍摘出術の解説動画
オキュロフェイシャルクリニック東京 
院長 鹿嶋友敬

※実際の手術の解説動画になりますので、手術映像が苦手な方はご視聴しないようにお願いいたします。

主訴 眼窩腫瘍
治療費 深在性の場合 片眼¥150,000
表在性の場合 片眼¥30,000
治療内容 眼窩腫瘍の摘出手術
治療のリスク ・良性の腫瘍であれば完治する可能性が高いですが、悪性の場合は繰り返す可能性があります。
・眼窩腫瘍の主な症状として、眼球の突出やまぶたの腫れ、ものが二重に見える複視があります。
・腫瘍の種類や進行具合によっては、眼球やまぶたに炎症が生じたり、視力が低下する場合がございます。

症例3.眼腫瘍専門の医療機関に行くも、
不安になり来院された50代女性の患者様

約50歳女性。眼球が上方にずれている。眼腫瘍専門の医療機関に行ったところ「大変な手術になる」と言われ、不安になったためご自身で調べ来院。

術前の症例写真

左眼窩腫瘍により、眼球が圧迫されているため、右眼に比べて小さくなっています。

術前のMRI

眼球下方に出現した眼窩腫瘍により眼球が持ち上げられています。

術後の症例写真

左眼窩腫瘍はきれいに摘出され、左右差はほとんどありません。キズも目立ちません。

治療前後での比較

  
主訴 眼窩腫瘍
治療費 深在性の場合 片眼¥150,000
表在性の場合 片眼¥30,000
治療内容 眼窩腫瘍の摘出手術
治療のリスク ・良性の腫瘍であれば完治する可能性が高いですが、悪性の場合は繰り返す可能性があります。
・眼窩腫瘍の主な症状として、眼球の突出やまぶたの腫れ、ものが二重に見える複視があります。
・腫瘍の種類や進行具合によっては、眼球やまぶたに炎症が生じたり、視力が低下する場合がございます。

症例4.涙腺腫瘍が見つかり、
眼窩腫瘍の専門家を探して来院された70代男性の患者様

約70歳男性。人間ドックで涙腺腫瘍が見つかり、眼窩腫瘍の専門家を探して来院。

術前の症例写真

涙腺部眼窩腫瘍により眼球が突出し、下に押し下げられてしまっています。

術前の症例写真

左眼に比べて右の眼球が大きく突出しています。

術前MRI

眼球後方の腫瘍により眼球が押し出されてしまっています。

術後の症例写真

右眼球突出は改善しています。軽度の眼瞼下垂を発症しています。

治療前後での比較

術前には眼球突出と眼球が下方に押し下げられていることが治っています。

主訴 眼窩腫瘍
治療費 深在性の場合 片眼¥150,000
表在性の場合 片眼¥30,000
治療内容 眼窩腫瘍の摘出手術
治療のリスク ・良性の腫瘍であれば完治する可能性が高いですが、悪性の場合は繰り返す可能性があります。
・眼窩腫瘍の主な症状として、眼球の突出やまぶたの腫れ、ものが二重に見える複視があります。
・腫瘍の種類や進行具合によっては、眼球やまぶたに炎症が生じたり、視力が低下する場合がございます。

他院で取れないと言われた
眼窩腫瘍について

他院で取れないと言われた
眼窩腫瘍 MRI動画

他院では摘出が難しいと言われて、当院で摘出を行った症例のMRI動画になります。

他院で取れないと言われた
眼窩腫瘍MRIシリーズ①

他院で取れないと言われた
眼窩腫瘍MRIシリーズ②

他院で取れないと言われた
眼窩腫瘍MRIシリーズ③

他院で取れないと言われた
眼窩腫瘍MRIシリーズ④

他院で取れないと言われた
眼窩腫瘍MRIシリーズ⑤

他院で取れないと言われた
眼窩腫瘍MRIシリーズ⑥

他院で取れないと言われた
眼窩腫瘍MRIシリーズ⑦

他院で取れないと言われた
眼窩腫瘍MRIシリーズ⑧

まずはお気軽にご相談ください

修正手術

当院は国内のどの医療機関よりも術後の痛みや傷跡などの患者負担を出来るだけ少ない手術を心掛けるようにしております。どうぞお気軽にお問い合わせください。

お問い合わせ・治療相談はこちら

お問い合わせ

オキュロフェイシャルクリニックグループ

当院は、まぶた、眼窩、涙道に特化した眼形成手術の専門施設です。豊富な経験と専門的な知識をもとに、一人ひとりのお悩みに寄り添い、最適な治療をご提案いたします。

他院で修正することが難しいと判断された方でも、今まで来院されたほとんどの方が治療が可能ですので、まずは一度ご相談いただけたらと思います。

日本全国5医院グループ展開!

年間1万件以上・日本全国No.1の
眼形成手術実績を誇る、
日本唯一の眼形成外科グループ

オキュロフェイシャルクリニックグループは、
東京、大阪、京都、千葉、新前橋の5つのクリニックを日本全国に展開する、眼形成外科の専門クリニックです。
私たちは、年間1万件以上の眼形成手術実績を持ち、日本全国No.1の治療実績を誇ります。

各クリニックでは、眼形成外科医が手術を担当し、
他の美容外科では得られない高度な技術と専門性を提供しています。
眼瞼下垂、目の下のたるみやクマ取り、ハムラ法、なみだ目治療、バセドウ病眼症、眼球突出、他院修正手術など、眼と目元に関するあらゆる悩みに対応します。
私たちの眼形成外科医は、自然で美しい仕上がりをお約束し、患者様の満足を第一に考えています。

オキュロフェイシャルクリニックグループでは、
最新の技術と豊富な経験を持つ専門医が皆様をお迎えし、安心して治療を受けていただける環境を整えています。
各クリニックは、それぞれの地域で皆様に質の高い医療を提供することを目指し、日々努力しています。
どうぞ、お近くのクリニックにご相談ください。

グループ医院について詳しく見る

诊所微信

扫描下面的二维码,
关注我们的微信账号并直接联系我们。

wechat

グループ医院

眼形成外科オキュロフェイシャルクリニック 東京

アクセス

〒104-0061
東京都中央区銀座1丁目15−4
ヒューリック銀座一丁目昭和通りビル 8階

電車でお越しの方

浅草線「東銀座駅」A8出口徒歩5分
有楽町線「銀座一丁目駅」10番出口徒歩4分
銀座線「京橋駅」2番出口徒歩4分

診療時間

火曜日、水曜日、木曜日、金曜日、土曜日
8:15〜17:15
[休診日]月曜・日曜・祝日
※当院の診療は完全予約制になります。

診療カレンダーはこちら

新前橋かしま眼科形成外科クリニック

アクセス

〒371-0844
群馬県前橋市古市町180−1
フォレストモール新前橋

お車・電車でお越しの方

大型駐車場 完備(フォレストモール新前橋内)
新前橋駅から徒歩7分

診療時間

火曜日、水曜日、木曜日、金曜日、土曜日
8:15〜17:15
[休診日]月曜・日曜・祝日
※当院の診療は完全予約制になります。

診療カレンダーはこちら

まぶたとなみだのクリニック千葉

アクセス

〒260-0015
千葉県千葉市中央区富士見1丁目1−13
JS Bldg 6階

電車でお越しの方

JR千葉駅から徒歩6分
京成千葉駅から徒歩6分

診療時間

火曜日、水曜日、木曜日、金曜日、土曜日
8:15〜17:15
[休診日]月曜・日曜・祝日
※当院の診療は完全予約制になります。

診療カレンダーはこちら

オキュロフェイシャルクリニック大阪

アクセス

〒530-0001
大阪府大阪市北区梅田1丁目12-6
EーMA(イーマ)3階

電車でお越しの方

JR大阪駅より徒歩3分
阪急大阪梅田駅より徒歩6分

診療時間

火曜日、水曜日、木曜日、金曜日、土曜日
8:15〜17:15
[休診日]月曜・日曜・祝日
※当院の診療は完全予約制になります。

診療カレンダーはこちら

オキュロフェイシャルクリニック京都

アクセス

〒600-8031
京都市下京区貞安前之町589
TM四条寺町ビル4階

電車でお越しの方

阪急電鉄京都線「京都河原町駅」 徒歩3分
市営地下鉄烏丸線「四条駅」 徒歩8分

診療時間

火曜日、水曜日、木曜日、金曜日、土曜日
8:15〜17:15
[休診日]月曜・日曜・祝日
※水曜は12時まで診療
※当院の診療は完全予約制になります。

診療カレンダーはこちら